調布歯科・かおいく矯正歯科|調布市・調布駅から徒歩1分の歯科・矯正歯科

調布歯科・かおいく矯正歯科
MENU

詰め物・被せ物

詰め物や被せ物の治療が必要となった場合、補綴物の選択で悩まれる方も多いのではないでしょうか?それぞれの種類の特徴を知りたい方もいるでしょう。

本記事では、詰め物・被せ物の種類別特徴、治療の流れについて解説しています。保険診療と自費診療の違いについても説明していますので、補綴物の選択でお悩みの方はぜひご参考にしてください。

調布歯科・かおいく矯正歯科の 詰め物・被せ物の特徴

  • 「コンポジットレジン」(白い詰め物)のスペシャリストが在籍!

  • トリプルバランス(機能性・審美性・親和性)を追求!

  • 保険診療から自費診療まで対応!患者様のご希望に合わせたご提案をさせていただきます!

目次

詰め物・被せ物とは

調布での詰め物・被せ物とは?

小さい虫歯であれば、虫歯を削って除去し歯科用プラスチックを詰める治療を行います。しかし、虫歯の範囲が大きかったり重度の虫歯であったりする場合は歯を削る量が増えるため、歯科用プラスチックでは強度を確保できません。そのため、詰め物・被せ物の治療を行います。

 

詰め物とは、歯の一部分を補綴物で詰める治療です。歯科専門用語でインレーとも呼ばれます。一方で被せ物とは、歯を大きく削り補綴物で歯全体を覆い被せる治療です。歯科専門用語ではクラウンといいます。

また、虫歯以外にも破折などが原因で詰め物・被せ物の治療を行うことがあります。

詰め物・被せ物の種類

調布での詰め物・被せ物の種類

詰め物や被せ物の素材の種類は多数あります。

ここでは、保険診療で使用される補綴物と、自費診療でよく使用される補綴物のそれぞれの素材別特徴を詳しく説明します。

保険適用の詰め物と被せ物

保険診療で主に用いられる詰め物・被せ物の種類は以下の3つです。

それぞれの特徴を詳しく解説します。

レジン

詰め物:1,000~2,000円程度
被せ物:8,000円程度

レジンとは、歯科治療で使われる白い樹脂素材で、自然な見た目に仕上がるのが特徴です。
虫歯治療では、削った部分にレジンを詰めて光で固めることで、その日のうちに治療が完了します。また、前歯の被せ物では金属のフレームの表面にレジンを貼り付けて、見える部分を白く自然な歯のように整える方法が用いられます。

レジン

丈夫さ

耐久性

見た目の仕上がり

安全性

こんな方におすすめです

  • 短期間で治療を終えたい方
    詰め物の治療の場合、1回の治療で終えることが多い。
  • 費用をできるだけ抑えたい方
    保険が適用されるため、比較的安価に治療できます。
  • 金属アレルギーが心配な方
    金属を使わない素材のため、安心して治療を受けられます。

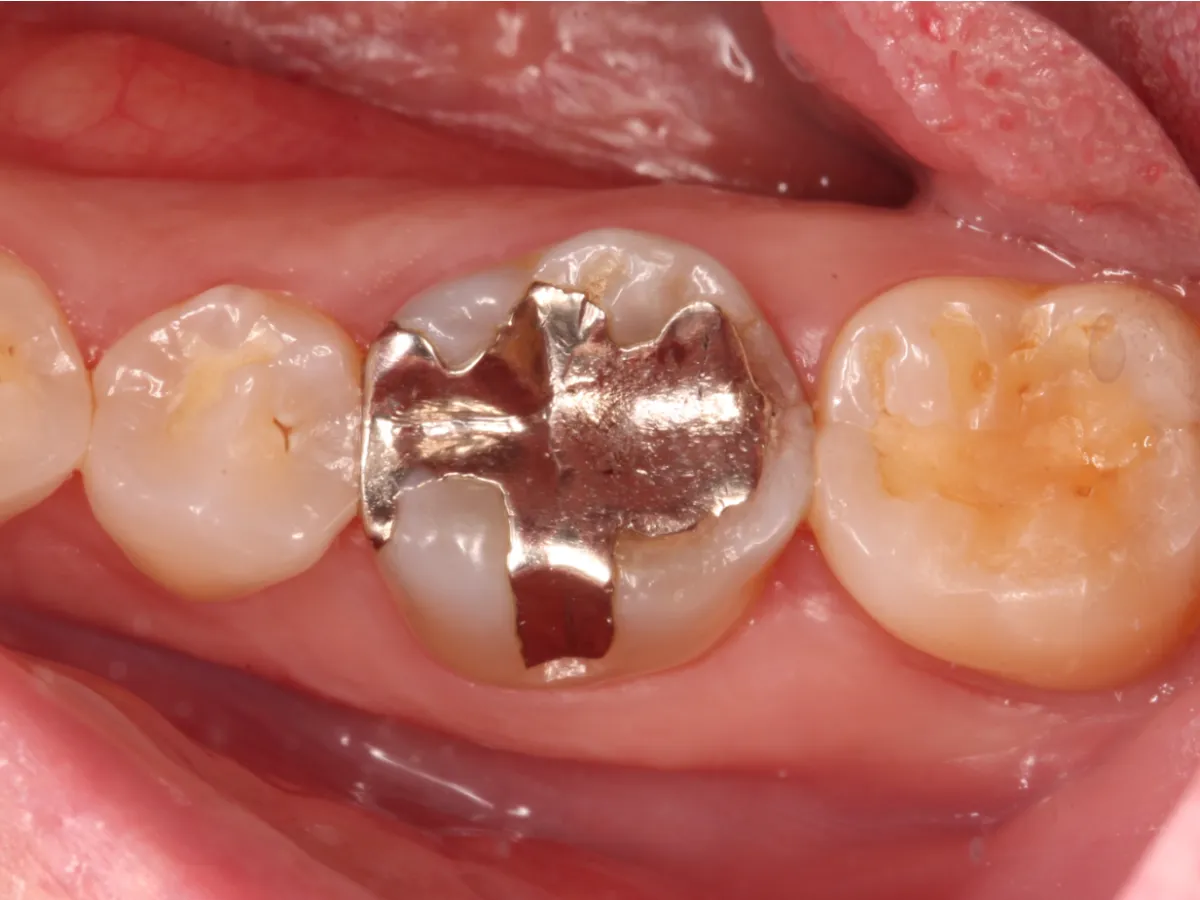
銀歯

詰め物:2,000~3,500円程度
被せ物:5,000円程度

銀歯は、主に奥歯の詰め物や被せ物に用いられる金属製の治療法で、歯の型を取って作製した後、歯科用セメントでしっかり固定します。

銀歯

丈夫さ

耐久性

見た目の仕上がり

安全性

こんな方におすすめです

  • 奥歯で強く噛む力が必要な方
    丈夫で耐久性があり、咬合力がかかる臼歯に適しています。
  • 治療費を抑えたい方
    保険適用が可能で、比較的安価に治療できます。
  • 見た目よりも機能性を重視する方
    審美性よりも長持ちや強度を優先したい場合に向いています。

CAD/CAM

詰め物:4,000円程度
被せ物:6,000円程度

CAD/CAMとは、歯型をコンピューターに取り込み、デジタル技術を使って作製する治療法で、素材には白く自然な見た目のハイブリッドレジンが用いられます。
奥歯の詰め物や被せ物の治療に対応していますが、歯の生え方や噛み合わせの状態によっては適用できない場合があります。

CAD/CAM

丈夫さ

耐久性

見た目の仕上がり

安全性

こんな方におすすめです

  • 保険の範囲で審美性と機能性を両立させたい方
    セラミックほど高額ではなく、経済的にも選びやすい治療法です。
  • 金属アレルギーのある方
    金属を使わないため、体にやさしく安心して治療できます。
  • 白い歯で自然な見た目に仕上げたい方
    ハイブリッドレジン素材で、周囲の歯となじむ自然な色合いになります。

自費診療の詰め物と被せ物

自費診療で主に用いられる詰め物・被せ物の種類は以下の3つです。

それぞれの特徴を詳しく説明します。

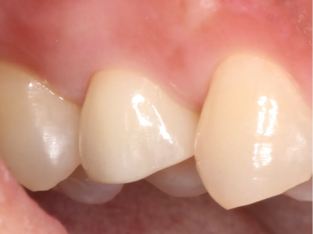
セラミック

セラミックは、白く透明感のある見た目が特徴で、天然の歯に近い自然な仕上がりが得られる審美性に優れた素材です。
変色しにくいため、美しい色合いを長く保てるのもメリットです。一方で、強い衝撃が加わると欠けたり割れたりするリスクがあり、噛み合わせや治療する部位によっては適さない場合があります。

セラミック

丈夫さ

耐久性

見た目の仕上がり

安全性

こんな方におすすめです

  • 見た目を綺麗にしたい方
    透明感があり、天然の歯に近い自然な仕上がりが得られます。
  • 金属アレルギーが心配な方
    金属を使わないオールセラミックなら安心して治療が可能です。
  • 長期間きれいな白さを保ちたい方
    変色しにくく、美しい色味を維持できます。

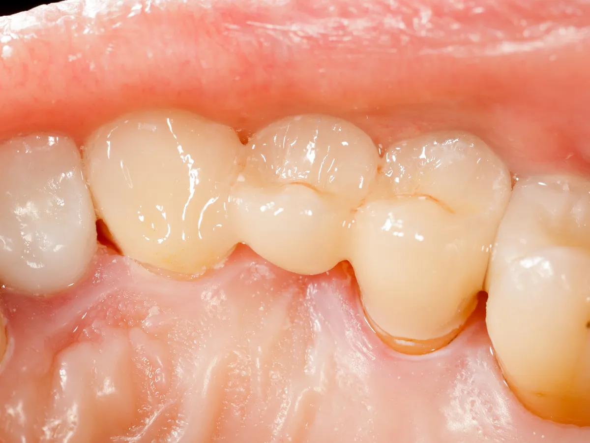
ジルコニア

ジルコニアは「人工ダイヤ」とも呼ばれる非常に強度の高いセラミック素材で、銀歯やセラミックよりも耐久性に優れており、強い力がかかる奥歯の治療に適しています。
さらに汚れや細菌が付着しにくいため、虫歯や歯周病の予防にもつながります。ただし、白い素材ではあるものの、セラミックのように自然な透明感を出すことは難しく、審美性の点ではセラミックに劣ります。

ジルコニア

丈夫さ

耐久性

見た目の仕上がり

安全性

こんな方におすすめです

  • 奥歯で強い噛む力がかかる方
    非常に高い強度があり、臼歯部の治療に最適です。
  • 虫歯や歯周病の再発を防ぎたい方
    汚れや細菌が付着しにくく、口腔内を清潔に保ちやすい素材です。
  • 白い歯にしたいが耐久性も重視する方
    銀歯より自然で、強度と見た目のバランスを重視する場合に向いています。

ゴールド

ジルコニアは「人工ダイヤ」とも呼ばれる非常に強度の高いセラミック素材で、銀歯やセラミックよりも耐久性に優れており、強い力がかかる奥歯の治療に適しています。
さらに汚れや細菌が付着しにくいため、虫歯や歯周病の予防にもつながります。ただし、白い素材ではあるものの、セラミックのように自然な透明感を出すことは難しく、審美性の点ではセラミックに劣ります。

ゴールド

丈夫さ

耐久性

見た目の仕上がり

安全性

こんな方におすすめです

  • 歯を長持ちさせたい方
    適合性が高く、虫歯の再発リスクが少ないため耐久性に優れています。
  • 噛み合わせや歯への負担を減らしたい方
    適度な柔らかさがあり、噛み合う歯を傷めにくい特徴があります。
  • 機能性を優先したい方
    審美性は劣るものの、強度と精度の高い治療を望む場合に適しています。

詰め物・被せ物治療の流れ

調布での詰め物・被せ物治療の流れ

詰め物や被せ物の治療を行う際の治療の流れを解説します。初診から補綴物が完成し、装着するまでの一般的な内容を説明していますので、治療内容や治療期間が気になる方は参考にしてください。

型取りと仮合わせのプロセス

調布歯科・かおいく矯正歯科では、初診時に患者様がどのような治療を希望しているか詳しくお話を伺います。「白い歯にしたい」「費用を抑えたい」などご希望をお伝えください。患者様のご希望を聞いたうえで、歯や噛み合わせの状態を詳しく調べて適切な補綴物を提案いたします。

 

治療は必要に応じて麻酔をしてから歯を削って形成します。その後、型取りを行い噛み合わせを調べます。

ここまでの治療を1回で行うこともありますが、痛みが出そうな場合など2回に分けて行うこともあります。

また、セラミック治療など自費診療の場合は、最終的な装着を行う前に色味や形の確認のため、仮合わせを行うことがあります

最終装着と調整

型取りをしてから大体1週間程度で技工物が出来上がります。技工物が出来上がってから装着までに期間があきすぎると、歯が動いて技工物が入らなくなったり適合が悪くなったりすることもあるのです。技工物が完成したら早めに受診するようにしてください

 

最終装着する前に適合具合や噛み合わせを詳しく確認します。問題がなければ専用のセメントを使用してセットします。セット後は、余剰セメントを除去し、適合具合や噛み合わせの最終確認と調整を行います。

詰め物・被せ物の
メンテナンス

調布歯科・かおいく矯正歯科では、詰め物・被せ物の治療後に定期的なメンテナンスを受けることを推奨しています。さまざまトラブルを回避し、治療した歯を長持ちさせるためです。詰め物や被せ物の治療をした歯は、その後のケア次第で持ちが変わってきます

 

ケアを怠っていると再度虫歯になることもあり、そうなれば詰め物・被せ物を除去して再び治療が必要になるのです。

再治療をしなくていいように、より長持ちさせるためのケア方法と、詰め物・被せ物の寿命について解説します。

定期検診の重要性

保険診療・自費診療問わず、治療後のケアが適切でなければ再度虫歯になるなどのトラブルを起こす可能性が高まります。噛み合わせが良くないことで詰め物や被せ物に負担がかかることもあるでしょう。

定期検診を受診していれば、これらのトラブルも事前に回避できるのです。トラブルが起きてしまっても早期に対処できるため、歯への負担も軽減できます。

定期検診で補綴物や噛み合わせの状態を確認し、歯科医院でのクリーニングを受けてください。治療後もきれいで健康な状態をキープするようにしましょう。

詰め物・被せ物の寿命

詰め物・被せ物は、たとえ自費診療のものであっても永久的なものではありません。ただし、自費診療の素材は歯との親和性が高かったり、耐久性に優れていたりすることから保険診療より寿命は長いといえます。 一方で、保険診療の補綴物は安価ではありますが、劣化も早いという特徴があります。 以下の表で素材別のおおよその寿命についてまとめました。

〈詰め物・被せ物の素材別おおよその寿命〉

素材 寿命の目安
レジン 耐久性が低く、劣化が早い。寿命の目安は5年程度。
銀歯 劣化が早く、適合に問題が出ることが多い。寿命の目安は5〜8年程度。
セラミック 耐久性が高い。寿命の目安は10〜15年程度。 ただし、強い衝撃によって欠けたり割れたりすることがある。
ジルコニア 耐久性が高く、強度も高い。寿命の目安は10〜15年程度。
ゴールド 歯との親和性が高いため、適合がよく長持ちしやすい。20年以上長持ちしているケースも少なくない。

日常の手入れ

日常の手入れではていねいな歯磨きが大切です。補綴物の周囲に汚れが溜まったままでいると再度虫歯や歯周病に罹るリスクが高まります。ていねいな歯磨きで清潔に保つようにしてください。

 

歯ブラシだけでは十分にプラークを除去できないため、歯間ブラシやフロスなどの補助清掃用具も使用するようにしましょう。

調布歯科・かおいく矯正歯科ではブラッシング指導も行っていますので、歯磨きの仕方で分からないことがありましたらお気軽にお声がけください。

まとめ

詰め物や被せ物の種類は多数あり、症例やお口の状態によって適切な素材は異なります。調布歯科・かおいく矯正歯科では、まずは患者様のご希望をお伺いします。お口の状態と患者様のご希望を照らし合わせてから最適な素材を提案しています。補綴物の素材にはそれぞれメリットとデメリットがありますので、素材の特徴をよく把握しておいたほうがいいでしょう。 また、治療後はケアを徹底し、定期検診でメンテナンスを継続することで詰め物や被せ物を長持ちさせることが可能です。 詰め物・被せ物の治療について気になることがありましたら、お気軽に調布歯科・かおいく矯正歯科までご相談ください。
執筆者
調布歯科・かおいく矯正歯科院長の橋本圭史
調布歯科・かおいく矯正歯科
院長 橋本 圭史

私は東京歯科大学卒業後、なるべく歯を削らないMI治療、マイクロスコープを使用した保存治療、成功率の高い精密根管治療に特化して研鑽を積んでまいりました。解剖講座で研究し博士号を習得したのち、当院の本院にあたる柳沢歯科医院で精密根管治療、保存治療における技術を更に磨いてきております。
また、当院では矯正歯科治療を専門とする歯科医師も在籍し、表側ワイヤー矯正をはじめ、これまでの矯正歯科とは全く異なるアプローチとして顔面骨格の正しい発育を促す小児矯正歯科治療「顔育矯正」にも力を入れております。
「歯をなるべく削らない」「虫歯を取り残さない」「根管治療を成功させる」ことを大切にし、当院のコンセプトとして掲げている”歯医者を卒業するための歯医者”を体現してまいります。

詳しくはこちら
TOPに戻る TOPに戻る